MULTIPLE SCLEROSIS

Stem Cells and Exosomes RESTORE the Myelin Sheath (remyelinate) that was destroyed by body’s own immune system (autoimmune). Post Covid, recovery complicated by ‘spike-protein’


I am a 36 years old Arab women (name withheld). I was convinced to have Stem Cell treatment because my illness was progressing very quickly and after much consideration, I decided to go for the Stem Cells Treatment with Ming Medical.

I was diagnosed with Multiple Sclerosis (MS) in 2016. Doctors have informed me that MS is a potentially disabling disease of both the brain and nervous system.

I started to experience pain, tiredness and numbness in my legs. As the illness progressed, I slowly lost the ability to walk. I also felt depressed, nervous and anxious. My health deteriorated and I suffered many disabilities because of the illness.

Description of image

After Stem Cell Treatment

I am very pleased with the result of the treatment, because previously I had lost movement in my legs and could not walk. Two months after the treatment, I can now walk for several hours without any pain or discomfort. I have also regained all of my sensations, within weeks of the treatment.



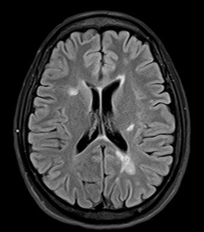
Description of Image 1
MRI scanning of patient before treatment

White spot indicate brain lesion (brain damage) area
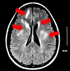
Description of Image 2
MRI scanning of patient 3 months after treatment

Significant reduction of brain lesion (brain damage)